Parasitoses causada por Taenia Solium, é a doença parasitária mais frequente no sistema nervoso central em adultos, endêmica dos países subdesenvolvidos e/ou de baixa renda. Pode acometer qualquer idade, mas é mais comum em adultos jovens, maiormente entre 21 a 40 anos de idade e sendo o sexo masculino mais prevalente. Acometimento em 50 milhões de habitantes no mundo segundo Centers for Disease Control and Prevention, chegando até, aproximadamente 50 mil mortes por ano no mundo. Os idosos são mais propensos apresentar o parasita quando este encontra-se na fase vesicular.

Evolução Patogênica
Processo evolutivo natural que dura de 2 a 5 anos e que culmina na degeneração do cisticerco, o processo é dividido em 4 etapas (vesicular, coloidal, granular e calcificado)

A infecção que leva à doença extra-intestinal, dada pelo consumo de agua ou alimentos contaminados com materia fecal de humanos ou o solo contaminado, as fezes contem os ovos da Taenia Solium, ou seja, sendo os humanos os hospedeiros definitivos. Uma vez esses ovos que encontram-se no ambiente, são consumidos por porcos. Uma vez no intestino do animal, o ovo é transformado em larva e é alojada nos tecidos do porco que, quando a carne é consumida crua ou mal cozida, alojase no intestino no homem acontecendo o fenômeno chamado de Teniase. O homem defeca no ambiente com repetição do ciclo, nesse momento as larvas conseguem chegar no tecido do ser humano onde ficam alojados no cérebro e nos músculos.
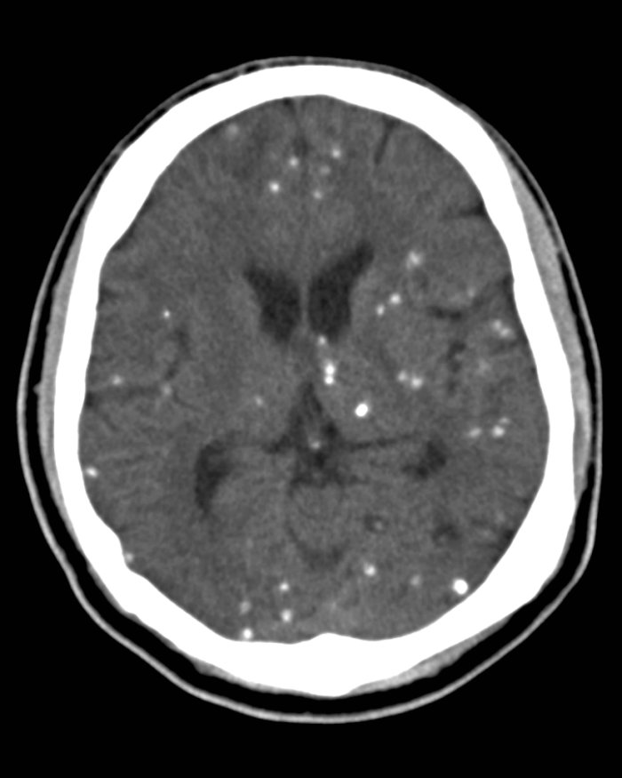
Na cisticercose, as formas larvais provocam uma reação inflamatória que, por um período de tempo, sofre calcificação. Os cistos podem estar presentes no cérebro, olhos, músculo esquelético e tecidos subcutâneos.
Estágios da doença
- Vesicular, pouca reação Inflamatória, parasita viável, sem causar doença no homem.
- Coloidal, membrana espessa, sendo o estagio mais sintomático, já que o escólex mostra sinais de degeneração hialina.
- Granular, o edema começa a regredir e o escólex degenera.
- Nodular, nódulo sólido rodeado por tecido conjuntivo denso formando um granuloma.
Manifestações clinicas
Pode ser assintomática, mas quando dá sintomas, a epilepsia é o principal, chegando até 90 % dos doentes quando sintomáticos, sendo uma das principais causas de crises convulsivas em regiões endêmicas do parasita. Secundário aos efeitos de massa que, dependendo do estagio, podem causar no cerebro a hipertensão intracraniana, cefaleia, síndrome de Bruns (vertigem com a alteração da posição da cabeça), transtornos psiquiátricos, meningites inflamatoria, doença vascular e acometimento raquiano podem ser vistos.
Diagnóstico
O diagnostico é feito por critérios. Tendo 1 critério absoluto ou 2 critérios maiores + 1 menor e 1 epidemiológico.

Tratamento
O tratamento pode ser observacional, com medicamentos, sendo o Albendazol e Praziquantel as drogas antiparasitárias que são prescritas quando o parasita fica restrita aos cistos íntegros de localização parenquimatosa e pouco numerosos. O tratamento cirúrgico será oferecido quando existe cisto muito volumoso representando massa ocupando espaço e síndrome de hipertensão intracraniana, em crises convulsivas refratárias, manifestações medulares por compressão.
Lembra que a melhor forma de tratar já começa com a PREVENÇÃO, cozinhar bem os alimentos, sobretudo a carne de porco.
