A mielomeningocele (MMC) é a forma mais comum de disrafismo espinal aberto, ou seja, um defeito do tubo neural (DTN) também conhecida como espinha bífida cística, compatível com a vida. A MMC é considerada como um defeito na neurulação primária resultante no fracasso do fechamento do neuroporo posterior. A grande maioria do comprimento da medula espinhal se desenvolve dentro dos limites fisiológicos, exceto em um segmento da medula que é mais comumente o segmento lombo sacro, em 85% dos casos, torácico em 10% e cervical em 5%. A malformação se caracteriza pela presença do placódio ou placa neural, envolta por aracnoide e fixada a um tecido displásico, apresentando um discreto predomínio do sexo feminino.
As raízes emergem anteriormente, sendo as sensitivas mais lateralizadas que as motoras. A MMC pode se associar a outros disrafismos e também à hidrocefalia. Esta é secundaria à obstrução do fluxo liquórico ventricular, presente em até 80-90% dos casos. Podem ser observadas anomalias de outros estágios do desenvolvimento embrionário, além daquelas que compõem o espectro da síndrome de Arnold Chriari (ACh), uma fossa posterior acompanhada de herniação do tronco encefálico através do forame magno, das amígdalas cerebelares e do IV ventrículo, que leva à hidrocefalia obstrutiva. A síndrome de ACh tem efeitos bem documentados nas funções motoras, cognitivo e nervos cranianos.
As etiologias das malformações congênitas do tubo neural estão ainda mal definidas. O defeito do tubo neural (DTN) tem causas multifatoriais, como uso medicamentos teratogênicos como drogas anti epilépticas (DAEs), diabetes gestacional, gravidez na adolescência, e deficiência no metabolismo do ácido fólico. A prevenção através de uma dose diária de acido fólico ingerida pela mãe, não é suficiente para prevenir o DTN, embora tenha diminuído substancialmente sua incidência, sobre todo nos países em desenvolvimento.
- Maternas. A associação entre paridade materna e incidência de DTN é mais forte que a da idade materna. Há um aumento modesto no risco de DNT em mães com paridade de 3 ou mais filhos, contando os abortos. Nenhuma explicação biológica clara foi encontrada para esta associação.
- Medicamentos anti epilépticos nas mães. Existe um risco aumentado de anomalias congênitas, incluindo crianças com NTD nascidas de mães em uso de drogas antiepilépticas crônicas (DEA). A associação mais comum foi observada com valproato de sódio e carbamazepina. O mecanismo exato não é conhecido, mas existem várias teorias. Acredita-se que os radicais livres (RL) sejam relevantes para esse processo devido a uma lesão direta mediada pelos mesmos, enzimas geneticamente deficientes que são envolvidas na erradicação dos RL e uma sobre carga de essas enzimas, levando a diminuição de eliminação dos RL.
- Estatus sócio econômico prenatal. Maior taxa de DTN foi observada em áreas com menor nível socioeconômico. Alguns estudos foram mais específicos e determinaram que a baixa educação materna estava associada a um risco elevado de DTN na prole. Agora, nem é preciso dizer que isso é verdade, exceto que é mais fácil definir os extremos mais pobre do que a ampla classe média com suas múltiplas subcategorias. Provavelmente, o baixo nível educacional tem relevância, pois os pais podem não estar cientes da profilaxia do folato e a pobreza expõe os indivíduos a séries de agentes teratogênicos e mal estado nutricional.
- Diabetes gestacional. O diabetes materno tem sido implicado como o segundo fator causal mais comum para a ocorrência de DTN, provavelmente após deficiência de ácido fólico. Os modelos experimentais mostram uma forte associação do diabetes como fator causador da síndrome de regressão caudal, desenvolvimento incompleto do sacro, que pode acarretar desde incontinência urinária ou fecal até uma lesão neurológica completa. Verificou-se que a hiperinsulinemia é um fator de risco significativo para mulheres latino americanas.

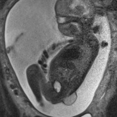
Diagnóstico
O diagnostico inicia já na consulta pre natal, não só a MMC como outras patologias são vistas e tratadas durante a gestação. Os recursos para diagnostico são a ultrassonografia morfológica, na mesma sequencia é solicitada uma ressonância magnética fetal, que é realizada com todo cuidado e é um exame inócuo para a o bebê.
Tratamento
O tratamento sempre será cirúrgico, existindo dois momentos para realizar a cirurgia. 1) podemos realizar a cirurgia fetal, consistindo em realizar uma “cesárea” onde é exposto o útero materno, abertura pequena, de 3 cm, posteriormente o neurocirurgião corrige a mielomeningocele. Esse é o método de preferencia, tendo como idade gestacional entre 18 -27 semanas de gestação para realizar a cirurgia. A outra idade para realizar o tratamento é no momento do nascimento, de preferencia nas primeiras 24 horas. Ambos métodos são seguros e enquanto mais cedo a cirurgia maiores beneficios para a criança.
Para saber mais, junte-se a nós.
