As malformações arteriovenosas (MAV) são lesões congênitas que se caracterizam por artérias desaguando direto em veias sem capilares entre eles. São vasos malformados ou displásicos. Formam um nidus (nicho patológico de vasos de alto fluxo), normalmente cônico, sem parênquima cerebral entre eles ou quando existe parenquima cerebral ao redor, o mesmo esta sem função. Esse cone possui a base e as veias de drenagem normalmente voltadas para a pia máter (meninge mais profunda) (parte superficial – as veias se encontrar arterializadas, dilatadas e tortuosas) e o ápice voltado para o ventrículo (profundo). Além do nidus, outra característica são as veias precoces ou de drenagem que são vistas principalmente en la arteriografia cerebral. Apesar de lesões congênitas as MAVs podem crescer ao longo do tempo e comumente são lesões incialmente de baixa pressão e alto fluxo, que se tornam na idade adulta lesões de alta pressão e alto fluxo.
Os pacientes com MAVs comumente se apresentam como tendo tido um sangramento ou seja, com hematomas intra-parenquimatosos, sendo essa a apresentação mais frequente. A taxa de sangramento das MAVs gira em torno de 2 a 4% ao ano. A morbidade e mortalidade após um sangramento, ambas variam de 10 a 30%. A idade de apresentação é em torno dos 33 anos, mas podem ser vistas em crianças e o tratamento deve ser preconizado mais rápido devido a chance maior de sangramentos. Existe o cálculo para estimar o risco acumulado de sangramento (105 – idade do paciente, ou seja, paciente de 10 anos de idade, tem 95% de chance de sangrar). A segunda forma de apresentação mais comum é com crises convulsivas, sendo a forma de apresentação mais comum em crianças. A dor de cabeça pode existir por roubo de fluxo, quando a MAV redireciona sangue para ela mesma.

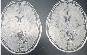
O diagnóstico das MAVs se faz pela história, exame físico neurológico detalhado e através dos exames complementares. Na tomografia de crânio de entrada, com contraste, e principalmente na ressonância magnética de crânio podemos visualizar vasos irregulares, serpinginosos, veias de drenagem, aneurismas associados. O exame ideal e padrão ouro para o diagnóstico é a arteriografia cerebral digital, exame realizado através de um vasos sanguíneo, colocando contraste no cerebro de forma dinâmico. Nesse exame a drenagem venosa precoce, os aneurismas, nidus, são melhor definidos.
Em relação ao tratamento das MAVs ele é multi-modal e multidisciplinar. Existe a cirurgia como opção principal, embolização ou tratamento endovacular e a radiocirurgia. Esses tratamentos mais do que formas isoladas apenas, eles devem ser combinados. A cirurgia deve ser o tratamento de escolha e claro, em casos de risco cirúrgico alto seja por parte do paciente ou devido a localização e complexidade da lesão, as outras formas de tratamento devem ser favorecidas. Vale salientar que para MAVs pequenas (< 3cm) e em áreas eloquentes a radiocirurgia vem surgindo como opção interessante. Entretanto, apesar de boa taxa de oclusão, esta ocorre de forma tardia podendo demorar 2 anos, ou seja, o paciente não está livre de apresentar hemorragia ou deteriorar neste período.
Em relação a cirurgia, é importantíssimo o planejamento prévio e cuidadoso, explicar para o paciente os riscos e benefícios do procedimento e avaliar os exames de imagem para identificar as veias superficiais, nidus, ponto de entrada, etc. O tratamento endovascular sozinho raramente é um tratamento adequado, a embolização serve como tratamento adjuvante para a cirurgia. Podendo assim, tornar a cirurgia menos difícil e sangrativa. O procedimento de embolização não está livre de complicações como por exemplo, AVCs devido a embolizações de vasos distais a MAV, dificuldade no destacamento do cateter com sangramento após, mudança no padrão de fluxo da MAV com sangramento ou roubo de fluxo.
O pós-op após a ressecção de MAVs é bem delicado e deve ser manejado por equipe experiente. Existem duas síndromes descritas que estão associadas a piora neurológica no pós-op do paciente com MAV cerebral: a hiperemia oclusiva e o rebote hipertensivo. A hiperemia seria um estado de edema e congestão cerebral devido a mudança na drenagem venosa cerebral com a ressecção de MAvs, seja por trombose tardia ou oclusão durante a cirurgia. O rebote hipertensivo seria uma síndrome pós-ressecção que poderia estar associada a hemorragia pós-operatória, também devido a mudança no padrão de fluxo cerebral devido a perda da auto regulação cerebral, o rebote hipertensivo poderia ser evitado com a administração de drogas antes da cirurgia. É claro que remanescentes de MAV após a cirurgia de ressecção também entram como causa de piora ou sangramento após cirurgia de pacientes com MAV.
