Os craniofaringiomas são tumores cerebrais não gliais, raros, de comportamento incerto e padrão de crescimento indeterminado. Apesar de serem tumores classificados como benignos (grau I) pela Organização Mundial de Saúde (OMS), são considerados pela comunidade neurocirúrgica como lesões de tratamento e manejo imprevisível, seja pelo comportamento agressivo, pela rápida e incerta recorrência do tumor ou pelo aumento da morbimortalidade.
Estes tumores são, na grande maioria das vezes, diagnosticados em grande tamanho devido ao seu padrão de crescimento indolente e benigno. Quando maiores que 4 cm, esses tumores são considerados gigantes e muitas vezes demonstram proliferação dentro de múltiplos compartimentos do espaço subaracnóideo. A primeira descrição patológica foi fornecida por Friedrich Albert von Zenker, em 1857, em uma autópsia, na qual ele identificou uma lesão heterogênea supra selar com a presença de cristais de colesterol e epitélio escamoso. A primeira cirurgia bem-sucedida para esse tipo de tumor cerebral foi realizada por Halted em 1909. Mas o termo “craniofaringioma” foi introduzido pela primeira vez por Cushing em 1932, o qual, após operar 87 pacientes, classificou a neoplasia como o “tumor mais desafiador que um neurocirurgião pode encontrar”
Epidemiologia
Os craniofaringiomas constituem de 1 a 4% dos tumores primários “intracranianos” na população geral.Em relação a idade, é uma lesão com comportamento bimodal, apresentando um pico de incidência entre 5 e 14 anos e nos adultos entre 50 e 74 anos. No entanto, craniofaringiomas podem ser diagnosticados em qualquer faixa etária, inclusive no período pré-natal. Devido ao crescimento lento, raramente são diagnosticados antes dos dois anos de idade.
Patogênese
Os craniofaringiomas podem ser classificados em 2 principais subtipos histológicos, adamantinomatosos e papilares, mas ainda podem ocorrer tipos de transição e misturas. Os craniofaringiomas adamantinomatosos são encontrados tanto em crianças quanto em adultos, enquanto os papilares são encontrados exclusivamente em adultos, na teoria, já na pratica tenho tido esse tido histológico nas crianças. O subtipo adamantinomatoso corresponde a 85 – 90% dos craniofaringioma.
Quadro clinico
Devido à localização supraselar, alterações visuais são frequentemente encontradas nos pacientes , tanto relacionada a acuidade visual, quanto alterações de campo. Podem ser encontradas ainda alterações de motilidade ocular, com diplopia, estrabismo, etc. A avaliação da função hipofisária deve sempre ser realizada antes da cirurgia, uma vez que a presença de deficiência hormonal não tratada pode aumentar o risco cirúrgico, principalmente a insuficiência adrenal. Os pacientes podem apresentar ainda sintomas relacionados a alterações hipotalâmicas, como aumento de peso, alterações de comportamento, alteração do controle da temperatura corporal e do ciclo sono-vigília.
O ganho de peso, para os portadores de CFR, é um desafio para o endocrinologista. A obesidade pode ocorre apesar de adequada reposição dos hormônios hipofisários. Os mecanismos que levam a obesidade nos pacientes com craniofaringioma incluem: distúrbios de saciedade, alteração do controle hipotalâmico do gasto energético e redução da atividade física (exacerbada por sonolência diurna, alteração do ritmo circadiano e alterações neurológicas.
Diagnóstico por imagem e classificação
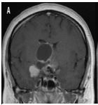
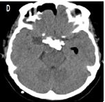
O uso de ressonância magnética de crânio para conferir a presencia de massa tumoral é mais fidedigna. Nas sequencias T1WI achamos sinal variável devido ao conteúdo do cisto, muitas vezes hiperintensidade devido ao material proteico, enquanto o componente tumoral sólido pode ter aspecto heterogêneo ou isointenso. No T2WI os cistos são tipicamente hiperintensos com focos hipointensos devido a calcificações. O T2 * / GRE / SWI encontramos um sinal “preto” que floresce secundário à calcificação ou sangue. São tumores que captam contraste na parte solida, mesmo sendo de origem benigna.
Volumosa lesão expansiva selar supraselar, heterogênea, solido cística. Ressonância Magnética, T1, corte coronal contrastada, volumoso componente cístico ocupando o III ventrículo, cístico com sinal hiperintenso, alto conteúdo proteico (A), sinal hipointenso em T1 coronal, na porção solida, com realce de contraste (B), sequência T2 mostrando áreas hipointensas sugestivas de calcificação (C), TC de crânio demonstrando as calcificações intratumoral..
Os craniofaringiomas são classificados com o objetivo de identificar, no pré-operatório, os fatores prognósticos do tumor em relação a área anatômica que se encontram e, prevenir os transtornos hipotalâmicos associados a ressecção cirúrgica. Existem 2 classificações que mais utilizo antes de realizar a cirurgia, Puget e Morisako. Na de Puget, os tumores são divididos em 3 tipos: não havendo envolvimento hipotalâmico, sem dano no hipotálamo, cirurgia de baixo risco, grau 0; o hipotálamo é descolado pelo tumor, danos mínimos no hipotálamo, cirúrgica de médio risco, grau 1; há região hipotalâmica envolvida pelo tumor, danos maiores no hipotálamo, cirurgia de alto risco, grau 2. Na classificação de Morisako, que é mais uma classificação no lugar de ser funcional,são 4 tipos: o tipo intrasselar, o tipo pré-quiasmático com e sem extensão lateral, o tipo retroquiasmático, o tipo dentro do terceiro ventrículo.
Tratamento
Existem vários tipos de tratamentos. Pacientes assintomáticos, com tumores pequenos e de consistencia sólida, o acompanhamento e observação rigorosa com exames de imagens são realizados. Para os tumores císticos, pode ser inserido um cateter dentro do cisto. Esse cateter pode ser utilizado tanto para aspiração do conteúdo do cisto quanto para administração de tratamento quimioterápico intracístico. A simples aspiração do conteúdo do cisto, as vezes, não apresenta boa resposta a longo prazo, uma vez que a maioria dos tumores tende a apresentar recrescimento do cisto, sendo necessárias repetidas punções.
O tratamento cirúrgico cada dia mais esta sendo questionando como primeira escolha, mas uma vez optado pela cirurgia de ressecção da parte solida do tumor, a primeira cirurgia é o momento de maior chance de cura, embora seja pequena e irá depender do grau de invasão às estruturas nobres na localização tumoral, já que a re operação traz mais morbidade. Tanto a taxa de progressão do craniofaringioma, quanto a idade do paciente, são fatores que devem ser levados em conta na decisão entre reoperação e radioterapia, na presença de lesão residual.
A radioterapia convencional leva a uma sobrevida livre de progressão de 56 a 95% em 10 anos, com uma sobrevida global de 65 a 100%. A radioterapia estereotáxica fracionada tem a vantagem de combinar a acurácia de entrega de dose da radiocirurgia com os benefícios do fracionamento. Esta técnica tem menor tempo de acompanhamento, em comparação com a radioterapia convencional, mas parece apresentar taxas de sobrevida livre de progressão de 75 a 100% e sobrevida global de 79 a 100%.




